ワイヤー矯正中は、装置がついていることで歯磨きがしづらくなり、「きちんと磨けているのか不安」と感じる方も多いのではないでしょうか。見た目にはきれいに見えても、実際には細かい部分に汚れが残っていることもあります。
こうした磨き残しは、むし歯や歯ぐきのトラブルにつながる可能性もあるため、日々のセルフケアに加えて、状態を確認しながら適切にケアしていくことが大切です。
この記事では、ワイヤー矯正中に磨き残しが起こりやすい理由や対策、歯科クリーニングの活用方法について解説します。
目次
ワイヤー矯正中は歯磨きだけで大丈夫?
ワイヤー矯正中は歯ブラシが届きにくい部分が増えるため、普段と同じように歯磨きをしているだけでは、十分に汚れを落としきれない場合があります。特にブラケットやワイヤーの周囲は汚れが残りやすく、意識して磨いていても磨き残しが生じることがあります。
そのため、「歯磨きをしているから大丈夫」と考えるのではなく、ご自身のケアの状況を確認しながら、必要に応じて歯科医院でのクリーニングを取り入れることも一つの方法です。セルフケアと専門的なケアを組み合わせることで、矯正中の口腔内環境を整えやすくなります。
・噛み合わせが悪いと食事が楽しめないのは本当?
「食事って、ただ栄養をとるための作業になってきた…」
そんなふうに感じることがあれば、噛み合わせの乱れが原因かもしれません。噛み合わせが悪いと、食材をしっかり噛み切れず、無意識に片側だけで噛んだり、咀嚼を避けるような食べ方になります。これにより食事に集中できず、疲れやストレスも溜まり、「美味しい」と感じる心の余裕すら失われてしまうのです。
さらに、噛みにくさは食事のリズムや楽しさも奪います。「あの料理、前は大好きだったのに…」と感じるのは、味覚ではなく「噛みにくさ」への無意識のストレスかもしれません。
つまり、食事が楽しくなくなる根本原因は、味覚や料理ではなく、噛むことのストレスにあるのです。
多くの人が感じる「ちゃんと磨けているか不安」という悩み
ワイヤー矯正中は、「しっかり磨いているつもりでも不安が残る」と感じる方が少なくありません。装置があることで歯の表面が複雑になり、どこまで汚れが落ちているのかを目で判断するのが難しくなるためです。
また、忙しい日常の中で時間をかけて丁寧に磨くことが難しい場合もあり、知らないうちに磨き残しが蓄積してしまうこともあります。こうした不安を感じたときは、無理に自己判断するのではなく、歯科医院で状態を確認してもらうことで、より安心して矯正治療を進めることにつながります。
なぜワイヤー矯正中は磨き残しが起こりやすいのか
ワイヤー矯正中は、歯の表面にブラケットやワイヤーといった装置が装着されるため、口腔内の構造が複雑になります。その結果、歯ブラシが当たりにくい部分が増え、普段通りの歯磨きでは汚れを十分に取り除けないことがあります。
また、装置の周囲は食べかすやプラークが付着しやすく、時間が経つことで落としにくくなることもあります。こうした環境が重なることで、知らないうちに磨き残しが蓄積しやすくなるため、矯正中はより意識的なケアが求められます。
ブラケットやワイヤー周囲に汚れが溜まりやすい理由
ブラケットやワイヤーは歯の表面に固定されているため、その周囲には段差や隙間が生じます。こうした部分には食べかすやプラークが入り込みやすく、歯ブラシの毛先が届きにくくなることがあります。
特にブラケットの周囲やワイヤーの下側は汚れが残りやすい傾向があり、通常の歯磨きだけでは十分に清掃しきれない場合もあります。また、装置があることで歯ブラシの動かし方が制限されるため、意識して角度を変えながら磨くことも大切になります。
歯ブラシが届きにくい部位とは
ワイヤー矯正中に磨き残しが起こりやすい部位には、いくつかの共通点があります。例えば、ブラケットの周囲やワイヤーの下、歯と歯の間などは、歯ブラシの毛先が入りにくく、汚れが残りやすい場所です。
また、歯ぐきとの境目や奥歯の内側なども見えにくく、磨き残しに気づきにくい部分といえます。これらの部位は、意識的に時間をかけて磨くことや、補助清掃用具を活用することで、清掃状態を整えやすくなります。
見た目ではわからない磨き残しに注意
ワイヤー矯正中は、歯の表面に装置があることで汚れが付きやすくなる一方で、見た目だけでは磨き残しに気づきにくいことがあります。鏡で確認した際に「きれいに見える」と感じても、実際には細かい部分にプラークが残っているケースもあります。
こうした見えにくい汚れが蓄積すると、口腔内のトラブルにつながる可能性もあるため、見た目の印象だけで判断せず、定期的に状態を確認することが大切です。
一見きれいでも汚れが残っていることがある理由
歯の汚れであるプラークは、白っぽく半透明であるため、肉眼では確認しづらい特徴があります。そのため、鏡で見たときに違和感がなくても、実際には歯の表面や装置の周囲に付着していることがあります。
また、ワイヤーやブラケットがあることで影ができやすく、細かい部分が見えにくくなることも、磨き残しに気づきにくい要因の一つです。特に歯と装置の境目や歯ぐきに近い部分は、意識しないと見落としやすい箇所といえます。
このように、見た目だけでは判断が難しいことから、必要に応じて歯科医院でのチェックや染め出しなどを活用し、実際の清掃状態を把握することが重要になります。
磨き残しを可視化する「染め出し」とは?
見た目ではわかりにくい磨き残しを確認する方法の一つが「染め出し」です。専用の染色液を使用することで、歯の表面に付着しているプラークを色で可視化し、どこに汚れが残っているのかを確認しやすくなります。
ワイヤー矯正中は特に磨きにくい部位が増えるため、こうした方法を活用することで、ご自身のケアの状況を客観的に把握することができます。
染め出しでわかる自分の磨き癖
染め出しを行うと、普段の歯磨きでは気づきにくい磨き残しの部位が明確になります。例えば、特定の歯の周囲だけ汚れが残っていたり、ワイヤーの下側に偏って付着していたりすることがあります。
こうした結果から、ご自身の歯磨きの傾向や苦手な部分を把握することができ、どの部分を重点的にケアすべきかを考えるきっかけになります。単に「磨けているかどうか」ではなく、「どこが磨けていないか」を知ることが重要です。
歯科医院で行う染め出しのメリット
歯科医院で行う染め出しは、単に汚れを確認するだけでなく、その結果をもとに適切なケア方法について説明を受けられる点が特徴です。磨き残しの部位に応じて、歯ブラシの当て方や補助清掃用具の使い方などを具体的に知ることができます。
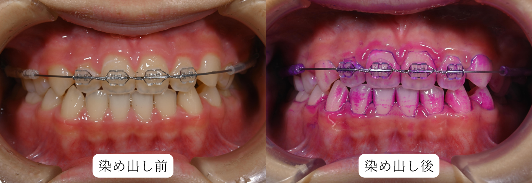
また、専門的な視点で口腔内の状態を確認できるため、ご自身では気づきにくい変化にも早めに対応しやすくなります。こうした取り組みは、日常のセルフケアを見直すきっかけとしても役立ちます。実際に当院で矯正治療を行っている方の、染め出し前後の写真になります。
染め出し前は見た目はきれいですが、実際に染め出しをした後は見えない汚れが付着しているのがわかります。

セルフケアと歯科クリーニングの違い
ワイヤー矯正中の口腔ケアでは、日々の歯磨き(セルフケア)に加えて、歯科医院でのクリーニングを組み合わせることが大切です。それぞれ役割が異なるため、どちらか一方だけで十分と考えるのではなく、目的に応じて使い分けることが重要になります。
セルフケアは日常的に汚れをためないための基本的なケアであり、歯科クリーニングはご自身では落としきれない汚れの除去や、状態の確認を目的として行われます。
・セルフケアと歯科クリーニングの違い
セルフケアと歯科クリーニングには、それぞれ異なる役割があります。違いを理解しておくことで、矯正中のケアをより効果的に行いやすくなります。
| 項目 | セルフケア | 歯科クリーニング |
|---|---|---|
| 主な役割 | 日常的な清掃 | 専門的な清掃・状態確認 |
| 磨き残し | 気づきにくい場合がある | 染め出しなどで確認しやすい |
| 対応範囲 | 見える範囲が中心 | 細かい部位や届きにくい部分 |
| 実施タイミング | 毎日 | 定期的 |
このように、それぞれの特徴を理解し、日常のケアと歯科医院でのケアを組み合わせることで、口腔内の状態をより整えやすくなります。
矯正中に取り入れたいセルフケアの工夫
ワイヤー矯正中は、装置の影響で通常よりも歯磨きが難しくなるため、少し工夫を取り入れることが大切です。歯ブラシだけでなく補助清掃用具を活用することで、磨き残しが起こりやすい部分にもアプローチしやすくなります。
また、特別な道具を使うだけでなく、日々の磨き方や意識の持ち方を見直すことも重要です。無理のない範囲で継続できるケア方法を取り入れていきましょう。
補助清掃用具の活用
ワイヤー矯正中は、歯ブラシだけでは届きにくい部分が増えるため、補助清掃用具を併用することが役立ちます。それぞれの特徴を理解し、適切に使い分けることで、より清掃しやすくなります。
これらを組み合わせて使用することで、磨き残しが起こりやすい部位にも対応しやすくなります。
忙しい方でも続けやすいケアのポイント
日々のケアを継続するためには、無理のない方法を見つけることも大切です。すべてを完璧に行おうとするのではなく、ご自身の生活スタイルに合わせて取り入れることがポイントになります。
例えば、時間が取れるタイミングで重点的にケアを行ったり、気になりやすい部位を意識して磨くなど、小さな工夫でも清掃状態の改善につながることがあります。また、歯科医院でのアドバイスを参考にすることで、ご自身に合った方法を見つけやすくなります。
歯科クリーニングのメリット
ワイヤー矯正中は、セルフケアだけでは取り除きにくい汚れが残ることがあります。そうした場合に役立つのが、歯科医院で行うクリーニングです。専門的な器具や方法を用いて清掃を行うことで、日常のケアでは対応しきれない部分にもアプローチしやすくなります。
また、クリーニングは単に汚れを落とすだけでなく、現在の口腔内の状態を確認する機会にもなります。矯正中のケアを見直すきっかけとして取り入れる方も少なくありません。
クリーニングで期待できること
歯科クリーニングでは、さまざまな観点から口腔内のケアが行われます。矯正中の方にとっては、以下のような点が役立つと考えられます。
矯正中のクリーニングで期待できること
- ✔染め出しによる磨き残しの確認
- ✔ご自身の歯磨きの傾向の把握
- ✔装置周囲の汚れの清掃
- ✔日常ケアの見直しにつながるアドバイス
こうした取り組みを通して、セルフケアだけでは気づきにくいポイントを把握しやすくなり、より適切なケアにつなげることができます。
矯正中のクリーニング頻度と通院の目安
ワイヤー矯正中は、装置の影響で汚れがたまりやすくなるため、定期的に歯科医院で口腔内の状態を確認することが大切です。ただし、クリーニングの頻度は一律ではなく、歯磨きの状態や口腔内の環境によって異なります。
そのため、ご自身の状態に合わせて無理のない範囲で通院を検討し、必要に応じて歯科医師や歯科衛生士と相談しながら決めていくことが重要です。
通院頻度の一般的な考え方
クリーニングの頻度は個人差がありますが、一般的には数か月に一度のペースで通院される方が多いとされています。ただし、ワイヤー矯正中は磨き残しが起こりやすいため、通常よりも少し短い間隔でのチェックが提案されることもあります。
また、歯ぐきの状態やむし歯のリスクなどによっても適した頻度は変わるため、定期的に状態を確認しながら調整していくことが大切です。
クリーニングを検討するサイン
日常のケアをしていても、気になる症状や変化がある場合は、クリーニングを検討する一つのタイミングとなります。
【クリーニングを検討するサイン】
- 歯ぐきの腫れや出血が気になる
- 矯正装置の周囲の汚れが落ちにくい
- 着色やぬめりが気になる
- 歯磨きがしにくいと感じる
このようなサインが見られる場合は、早めに歯科医院で状態を確認することで、適切なケアにつなげやすくなります。
よくある質問(FAQ)
ワイヤー矯正中のケアについては、日常的にさまざまな疑問を感じる方も多いかと思います。ここでは、クリーニングや染め出しに関してよくある質問をまとめました。
ワイヤー矯正中でも、歯科クリーニングを受けることは可能です。装置が付いている状態に合わせて、専用の器具や方法を用いて清掃が行われます。
ただし、口腔内の状態や治療の進行状況によって対応が異なる場合もあるため、事前に歯科医院で確認しておくと安心です。定期的にクリーニングを取り入れることで、矯正中のケアを見直すきっかけにもなります。
染め出しは、市販の製品を使用して自宅で行うことも可能です。ご自身の磨き残しを確認する方法として取り入れている方もいます。
ただし、初めて行う場合や使い方に不安がある場合は、歯科医院で方法を確認すると安心です。専門的な視点でアドバイスを受けることで、より活用しやすくなります。
日々のセルフケアはとても大切ですが、ワイヤー矯正中は装置の影響で磨き残しが生じやすく、自宅ケアだけで完全に管理することが難しい場合もあります。
そのため、必要に応じて歯科医院でのチェックやクリーニングを取り入れることで、より安心して矯正治療を進めやすくなります。
まとめ|矯正中は「気づくこと」と「補うこと」が大切

ワイヤー矯正中は、装置の影響で歯磨きが難しくなり、気づかないうちに磨き残しが生じることがあります。見た目ではきれいに見えても、細かい部分に汚れが残っている場合もあるため、日々のセルフケアに加えて、状態を確認することが大切です。
その一つの方法として、染め出しを活用することで、見た目ではわかりにくい汚れを可視化し、ご自身の磨き癖を把握することにつながります。こうした気づきは、日常のケアの見直しにも役立ちます。
また、歯科医院でのクリーニングを取り入れることで、セルフケアでは対応しきれない部分の清掃や、口腔内の状態確認を行うことができます。当院では、染め出しを使用しながら磨き残しの確認を行い、それぞれの状態に合わせたケアのご提案を行っています。
このように、セルフケアと歯科クリーニングを組み合わせることは、矯正中に起こりやすいむし歯や歯ぐきのトラブルを予防するための一助となります。気になる点がある場合は、無理のない範囲で歯科医院でのチェックを検討してみてはいかがでしょうか。
歯科医師:佐々木 智章

<経歴>
-
- 2010年 愛知学院大学歯学部卒業
- 2011年 愛知学院大学臨床研修医
- 2012年 アップルデンタルクリニック勤務医
- 2014年 ササキ歯科・ササキ矯正歯科勤務
<資格・所属学会>
-
- 愛知県歯科医師会
- 名古屋市東区歯科医師会
- MDIベーシックコース
- MDIインプラントコース
- ストローマンインプラントコース
- CAD/CAM Curving & Polishing
- CAD/CAM Preparation & Training
- アストラテックインプラントシステムベーシックコース
- 顎咬合学会
- LCDCベーシックコース
