目次
― 口が閉じられない・歯が乾く日常から、“自然に口を閉じて噛める”状態へ ―
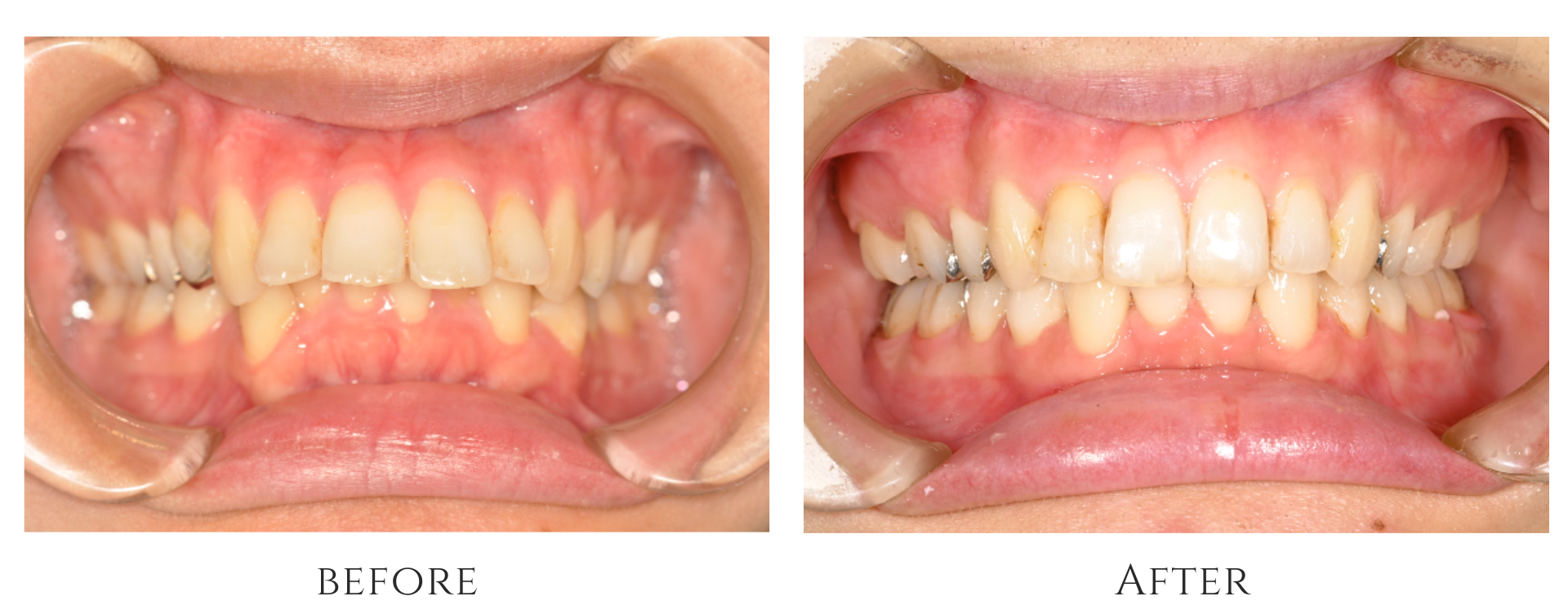
出っ歯が気になり、「口が閉じられない」「前歯で噛めない」といったお悩みで来院された25歳女性の患者様です。
口が常に開いてしまうことでお口の中が乾燥しやすく、食事のしづらさに加えて、歯ぎしりや顎の痛み、歯ぐきの腫れなど、さまざまな症状を感じていらっしゃいました。
「見た目だけでなく、しっかり噛めるようになりたい」
「口を自然に閉じられるようになりたい」
というご希望で矯正治療をスタートしました。
今回ご紹介するのは、出っ歯(骨格性上顎前突)により口が閉じにくく、前歯で噛めない状態だった患者様の症例です。
骨格的なズレを伴うケースであったため、機能面の改善も重視しながら、抜歯を伴う矯正治療を行い、噛み合わせと口元のバランスの改善を目指しました。
はじめに ― 出っ歯により口が閉じにくく、噛みにくさを感じている方へ
出っ歯の状態が続くと、見た目だけでなく「口が閉じられない」「前歯で噛めない」といった機能的なお悩みを感じることがあります。
また、口が常に開いてしまうことでお口の中が乾燥しやすくなり、虫歯や歯ぐきの炎症、食いしばりなどにつながるケースも少なくありません。
痛みが強くない場合でも日常生活は何とか送れてしまうため、治療のタイミングを逃してしまうことも多く見られます。
今回ご紹介するのは、出っ歯により口が閉じにくく、前歯で食事がしづらい状態だった患者様の症例です。
口の乾燥や歯ぎしり、顎の痛み、歯ぐきの腫れなど複数の症状を抱え、「見た目だけでなく、しっかり噛めるようにしたい」というご希望で来院されました。
骨格的なズレを伴うケースであったため、矯正治療により歯並びだけでなく噛み合わせや口元の機能改善も目的として治療を行いました。
初診時の状態

初診時にみられた症状
- 出っ歯により口が閉じられず、常に口の中が乾燥している状態
- 前歯で噛むことができず、麺類などの食事がしづらい
- 歯ぎしり・食いしばりがあり、顎に痛みが出ることがある
- 歯並びのガタつきにより歯磨きやフロスが難しく、歯ぐきが腫れやすい
- 見た目だけでなく、機能面(噛む・閉じる)にも不安を感じて来院
初診時は、出っ歯に加えて下顎の骨が小さい骨格的なズレがあり、前歯で噛むことができない状態でした。
また口が閉じられないことで口呼吸となり、乾燥による口腔環境の悪化や、食いしばりによる顎への負担も見られました。
「見た目を改善したいだけでなく、しっかり噛めるようになりたい」
というご希望を強く持たれていたのが印象的です。
まずは原因となる機能的な問題の改善から
このようなケースで大切なのは、いきなり歯並びだけを整えるのではなく、口腔周囲の筋肉や噛み合わせといった機能面を整えたうえで、段階的に治療を進めることだと考えています。
本症例では、出っ歯に加えて下顎の骨が小さい骨格的なズレがあり、前歯で噛めず、口が閉じにくい状態でした。
また、食いしばりや歯ぎしりの影響も強く、顎への負担が大きい状態でした。
そのため、まずは舌の筋機能トレーニングと就寝時のマウスピースを使用し、口周りの筋肉のバランスを整えながら、食いしばりの原因となる筋肉の緊張を緩和することからスタートしました。
そのうえで、骨格的な前後のズレが大きく、歯の移動量も多くなることが予測されたため、歯の動きを精密にコントロールできるブラケット矯正を選択しました。
さらに、奥歯をしっかり固定しながら前歯を後方へ移動させるために、パラタルアーチを併用しています。
また、出っ歯を改善するためには抜歯を伴う矯正が必要であること、歯の移動に伴うリスク(歯根吸収や歯肉退縮の可能性)があることについても事前にしっかりとご説明しました。
患者様は治療内容をご理解・ご納得され、機能面と見た目の両方の改善を目指した矯正治療を進めていく方針となりました。
治療の流れ:機能改善と抜歯矯正を行った症例
今回のゴールは、
- 口を自然に閉じられる状態をつくる
- 前歯でしっかり噛める機能を回復する
- 歯列全体でバランスよく噛める安定した咬み合わせをつくる
という3点です。
1)筋機能の改善と負担軽減からスタート
出っ歯の改善に入る前に、まずは口周りの筋肉のバランスと顎への負担を整えることから開始しました。
本症例では、口が閉じにくいことに加え、歯ぎしりや食いしばりの影響も強く、顎への負担が大きい状態でした。
そこで、舌の筋機能トレーニングを行いながら、就寝時にはマウスピースを使用し、筋肉の緊張を緩和。
矯正治療を安全に進めるための土台づくりを行いました。
2)ブラケット矯正により歯列と前後的なズレを改善
骨格的な前後のズレが大きく、前歯の後方移動量も多くなることが予測されたため、歯の動きを精密にコントロールできるブラケット矯正を選択しました。
また、奥歯を固定源として安定させるためにパラタルアーチを併用しています。
出っ歯を改善するため、上顎は左右の小臼歯を2本抜歯し前歯を後方へ移動し、下顎は前歯2本を抜歯して歯列のガタつきを整えました。
これにより、上下の前歯の距離を改善し、前歯でもしっかり噛める状態を目指しました。
3)咬み合わせを整え、全体で噛める状態へ
歯の移動を進めながら上下の歯列全体のバランスを調整し、前後的なズレを改善しました。
最終的には、特定の歯に負担が集中しないよう歯列全体で均等に力がかかる咬み合わせへと仕上げました。
その結果、前歯で噛める機能が回復するとともに、奥歯への過度な負担や食いしばりの軽減も期待できる状態となりました。
矯正治療を進めるにあたっての注意点
今回のように初めて矯正治療を受ける場合、治療をスムーズに進め、良い結果を得るためには日常生活での協力がとても重要になります。
本症例では、以下の点について事前にしっかりとご説明しました。
① 痛みや違和感に対して適切に対応すること
矯正装置を装着すると、歯が動く際の痛みや違和感が出ることがあります。
また、装置が当たることで口内炎ができることもあるため、その都度調整を行いながら無理なく治療を進めていきます。
② 装置の使用と通院を継続すること
治療効果をしっかり得るためには、装置を適切に使用し、定期的な通院を継続することが重要です。
特にワイヤー調整のタイミングを守ることで、効率よく安全に歯を動かすことができます。
③ 口腔内を清潔に保つこと
矯正装置が付くことで歯磨きが難しくなり、磨き残しが増える傾向があります。
食後の歯磨きやフロス・補助清掃器具を活用し、虫歯や歯肉炎を予防することが大切です。
④ 舌のトレーニングを継続すること
口が閉じにくい原因の一つとして、舌や口周りの筋肉の使い方が関係しています。
矯正治療と並行して舌の筋機能トレーニングを行い、正しい位置や動きを習得することで、後戻りの予防や安定した仕上がりにつながります。
治療後の症例写真

矯正治療の完了後は、前歯の突出が改善され、口が自然に閉じられる状態となりました。
また、前歯でしっかり噛めるようになり、食事のしやすさも大きく改善しています。
治療直後は装置による違和感や咬み合わせの変化に慣れるまでに一定の期間が必要でしたが、徐々に適応され、
「口が閉じやすくなった」
「前歯で噛めるようになり食事がしやすい」
といった変化を実感していただけました。
今回の症例では、矯正治療に加えて舌の筋機能トレーニングも継続して行っていただいたことで、口元の機能改善と安定した仕上がりにつながりました。
また、日常的な口腔ケアにも積極的に取り組んでいただけたことが、歯ぐきの状態や口腔環境の改善にも大きく寄与しています。

今回のケースでの自費診療の費用
| 治療内容 | 数量 | 金額 | 備考 |
|---|---|---|---|
| 矯正検査 | 1回 | 55,000円 | — |
| 診断料 | 1回 | 33,000円 | — |
| 矯正初期費用(ブラケット治療) | 1式 | 880,000円 | 抜歯矯正を含む |
| 処置料 | 約36回 | 1回4,400円〜 × 回数分 | 月1回調整 |
| レントゲン検査 | 年1回 | 16,500円 | 経過観察 |
※矯正歯科治療は公的健康保険の適用外となる自由診療です。
※処置回数や治療期間により総額は変動する場合があります。
ブラケット矯正治療のメリット・デメリット
ブラケット矯正(ワイヤー矯正)
- 歯の動きを3次元的にコントロールでき、精密な治療が可能
- 抜歯を伴うような大きな歯の移動にも対応できる
- 前歯の後方移動など、難しい症例でも安定した結果が得られやすい
- 歯根吸収のリスクをコントロールしやすい
- 装置が目立ちやすい
- 食事や歯磨きがしにくく、清掃不良になりやすい
- 装置による違和感や痛みが出ることがある
- 通院や調整が必要で治療期間が長くなる
筋機能トレーニング(MFT)
- 口が閉じやすくなり、口呼吸の改善につながる
- 舌や口周りの筋肉バランスが整い、後戻り予防に効果的
- 噛み合わせの安定性が向上する
- 継続的なトレーニングが必要で、患者様の協力度に左右される
- 効果が出るまでに時間がかかる場合がある
まとめ:出っ歯や口が閉じにくいことでお悩みの方へ
出っ歯の状態でも、痛みがなければ日常生活は何とか送れてしまうことがあります。
しかし、口が閉じられない・前歯で噛めない状態が続くと、口呼吸や乾燥、歯ぎしりなどにつながり、知らないうちにお口全体のバランスが崩れてしまう可能性があります。
本症例では、筋機能の改善からスタートし、段階的に矯正治療を行うことで、見た目だけでなく「しっかり噛める」「自然に口が閉じられる」状態まで改善することができました。
矯正治療は見た目の改善だけでなく、噛み合わせや口腔環境、さらには呼吸の改善にもつながる治療です。
口が閉じにくい、前歯で噛めない、出っ歯が気になる、顎の負担があるなど、気になる症状がある方は、今のお口の状態を一度しっかり確認してみることをおすすめします。
「自分は治療が必要なのか分からない」「どんな治療になるのか不安」といった段階でも問題ありません。
当院では現在の状態を丁寧に診断し、患者様に合った治療の選択肢をご提案しています。
まずはお気軽にご相談ください。
歯科医師:佐々木 智章

<経歴>
-
- 2010年 愛知学院大学歯学部卒業
- 2011年 愛知学院大学臨床研修医
- 2012年 アップルデンタルクリニック勤務医
- 2014年 ササキ歯科・ササキ矯正歯科勤務
<資格・所属学会>
-
- 愛知県歯科医師会
- 名古屋市東区歯科医師会
- MDIベーシックコース
- MDIインプラントコース
- ストローマンインプラントコース
- CAD/CAM Curving & Polishing
- CAD/CAM Preparation & Training
- アストラテックインプラントシステムベーシックコース
- 顎咬合学会
- LCDCベーシックコース
